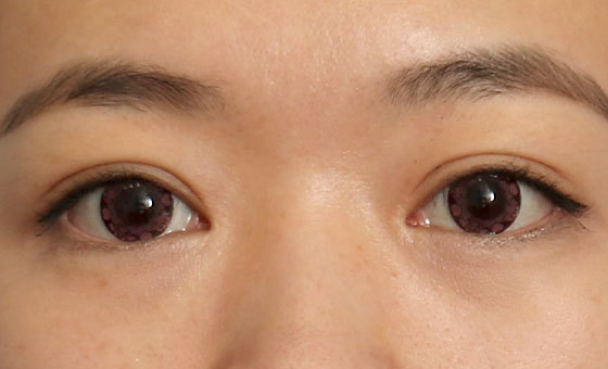
การเปิดขยาย ดวงตา

สร้างดวงตาที่ดูอ่อนละมุนโดยการขยายความยาวตาในแนวตั้งและแนวนอน

การเปิดขยาย ดวงตา

สร้างดวงตาที่ดูอ่อนละมุนโดยการขยายความยาวตาในแนวตั้งและแนวนอน

การเปิดขยาย ดวงตา

สร้างดวงตาที่ดูอ่อนละมุนโดยการขยายความยาวตาในแนวตั้งและแนวนอน

การเปิดขยาย ดวงตา

สร้างดวงตาที่ดูอ่อนละมุนโดยการขยายความยาวตาในแนวตั้งและแนวนอน

การเปิดขยาย ดวงตา

สร้างดวงตาที่ดูอ่อนละมุนโดยการขยายความยาวตาในแนวตั้งและแนวนอน

การเปิดขยายดวงตา

  • ระยะเวลาการผ่าตัด

    ประมาณ 30 นาที

  • วิธีวางยา

    ยานอนหลับ

  • ตัดไหม

    หลังผ่าตัดประมาณ 7วัน

  • นอนโรงพยาบาล

    สามารถกลับบ้านได้เลย

  • เช็คอัพ

    ทำการนัดตัดไหม 1 ครั้ง

  • พักฟื้น

    ประมาณ 3~5วัน หลังทำ สามารถใช้ชีวิตได้ตามปกติ

BANOBAGI PLASTIC SURGERY

การผ่าตัดเหมาะสำหรับ

  • Case.01

    เพิ่มขยายช่วงหัวตา
    กรณีที่ต้องการรูปตา
    ดูสดใสมากขึ้น

  • Case.02

    กรณีที่ระยะระหว่าง
    ตาสองข้างไกลกัน

  • Case.03

    กรณีที่รอยพับชั้นตา
    ทำให้ใบหน้าดูอึดอัด

  • Case.04

    กรณีที่อยากแก้ไข
    จุดเริ่มต้นของชั้นตา สองชั้น

  • Case.05

    กรณีที่มีชั้นตาสองชั้นอยู่แล้ว
    แต่อยากได้ รูปตาที่เปิด
    และดูชั้นตาชัดมากขึ้น

  • Case.01

    กรณีที่มีรูปตาแนวยาวสั้น

  • Case.02

    กรณีที่หว่างคิ้วแคบ
    เปิดหัวตาลำบาก

  • Case.03

    กรณีที่เพิ่มความกว้างหางตา
    ต้องการรูปตาดูสดใสมากขึ้น

  • Case.04

    กรณีที่ต้องการยกหางตา

  • Case.05

    กรณีที่มีชั้นตาสองชั้นอยู่แล้ว
    แต่อยากได้รูปตาที่ดู
    อ่อนเยาว์มากขึ้น

  • Case.01

    กรณีที่ต้องการรูปตา
    ดูสดใสขึ้นโดยขยายตาทั้ง
    แนวตั้งและแนวนอน

  • Case.02

    กรณีที่ต้องการรูปตาที่
    ดูอ่อนโยน

  • Case.03

    กรณีที่ตาดูอึดอัดโดยที่
    ลูกตาดำด้านล่างถูกบดบัง

  • Case.04

    กรณีที่เคยทำการเปิดหางตา
    แล้ว แต่อยากให้หางตา
    กดลงมา
    มากกว่านี้

  • Case.05

    เมื่อต้องการให้เห็นพื้นที่ตาขาว
    เพียงพอ
    และต้องการให้
    ตำแหน่งของตาดำ
    อยู่ช่วงกึ่งกลาง

วิธีผ่าตัด

  • 01

    รูปตาด้านหัวตา ที่ดูอึดอัด

  • 02

    การออกแบบตาที่สมส่วน เหมาะกับใบหน้า

  • 03

    การกรีดตามรอยพับของขอบตาด้านใน

  • 04

    การขยายหัวตาด้านใน โดยทำในขอบเขต ที่สามารถทำได้

  • 05

    เย็บด้านในโดยไม่ให้เห็นแผลมากที่สุด

  • 06

    เมื่อเปิดหัวตาจะได้รูปตาที่สดใส

เฉพาะที่บาโนบากิเท่านั้น

  • แก้ไขรูปตาให้ดูสดใสมากขึ้นด้วยการเปิดขยายดวงตา
  • แก้ไขรูปตาและใบหน้า ด้วยการปรับองศาของมุมหางตา
  • หากยังไม่พอใจหลังจากการทำศัลยกรรมตาสองชั้น
    ทำการเปิดกรีดขยายดวงตาเพิ่มความเป็นเอกลักษณ์ยิ่งขึ้น
  • การออกแบบโดยคำนึงถึงความสมมาตรของใบหน้าและดวงตา
    รวมถึงการเย็บแผลที่ไร้ที่ติ เพื่อให้ผลการผ่าตัดที่น่าพอใจ

ใจความสำคัญหลักของบาโนบากิ

เลือกใช้เครื่องมือการแพทย์ ที่มีคุณภาพ
แล้ะเครื่องมือ ที่ได้รับการรับรองแล้ว
เท่านั้น
ประกอบไปด้วยระบบการดูแล ที่สะดวก
สบาย อาทิ มีล่ามส่วนตัว ดูแลตลอดแบบ
ประกบ1:1, ที่พัก , ที่จอดรถ
ในโรงพยาบาล
มีคุณหมอวิสัญญีที่ประจำ
ศัลยกรรมด้วยความซื่อสัตย์ ภายใต้ชื่อ
จริงของศัลแพทย์ ที่รับผิดชอบ
ผู้เชี่ยวชาญในแต่ละสาขาที่มี
ประสบการณ์ทางการรักษา
เทคนิกความชำนาญมากมาย
รักษาด้วยการวินิจฉัยและการประเมิน
อย่างแม่นยำสำหรับลูกค้าต่างชาติ
ซึ่งจะพิจารณาตามแต่ละบุคคลอย่าง
เหมาะสม ผ่านการวิจัยและความ พยายาม
มานานหลายปี

ก่อน & หลัง

ก่อน หลัง
ก่อน หลัง

BANOBAGI PLASTIC SURGERY

รายการแนะนำทำคู่กัน

CONTACT US

โรงพยาบาลบาโนบากิ อยู่สถานี ยอกซัม(Yeoksam station)
ทางออกหมายเลข 6 เดินตรงมา 100 เมตร

  • วัน-เวลาทำการ

    • จันทร์ ~ ศุกร์

      09:30~18:30
    • เสาร์

      09:30~16:00
    • ※ ปิดบริการทุกวันอาทิตย์ และวันหยุดนักขัตฤกษ์
  • ปรึกษาศัลยกรรมออนไลน์

    • จันทร์ ~ ศุกร์

      09:30~18:00
    • ※ ปิดบริการทุกวันอาทิตย์ และวันหยุดนักขัตฤกษ์
  • การเดินทางโดยรถไฟใต้ดิน

    • 2 สถานี Yeoksam station
      ทางออกหมายเลข 6 เดินตรงมา 100 เมตร
    • 9 สถานี Eonju station
      ทางออกหมายเลข 7 เดินตรงมา 400 เมตร

X

emailicon โทร

02-392-2890

โทรสอบถามรายละเอียด
หรือสอบถามราคาได้ฟรี
go-top go-top
아이콘

หลังผ่าตัดอาจมีอาการอักเสบหรืออาการเจ็บได้, ความพึงพอใจของผลการผ่าตัดขึ้นอยู่กับแต่ละบุคคล ฉะนั้นคนไข้ควรทำความเข้าใจกับแพทย์ให้ชัดเจนก่อนการผ่าตัด

517 นนฮยอน, คังนัม, โซล, เกาหลีใต้
โรงพยาบาลศัลยกรรมบาโนบากิ
ผู้อำนวยการบันแจซัง 220-08-87096
Copyright © 2014 banobagi beauty all rights reserved.